A Summer Solstice Meditation on Cancer

In the depths of my despair, I wrote A Winter Solstice Meditation on Cancer. The future was looking bleak and uncertain. Now it is slightly past the summer solstice as I sit in a hospital room having dealt with the last of the tumors. What I can say is that lots has changed.

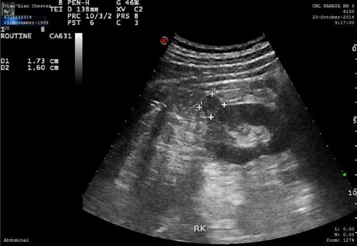
Ultrasound Right Kidney
Ultrasound of my right kidney showing tumor growth

In December, I was in despair. At that time I was told I had kidney, prostate and bladder cancers. To me that sounded like a death sentence. It was during the middle of a sun salutation sequence that I surrendered to the universe. I knew I could only take one step at a time and see where it led me.

Christmas time with the kids had an underlying tension of things to come in the new year. We really cherished each other’s company…appreciated our time together not knowing how much time was left.

January brought the first of procedures; removal of the bladder cancer or I should say cancers – there were two nodes. Surgery was fine – but post-op was not. I left the hospital with a catheter for a week and a stent for two weeks. Being off work in the darkest and coldest month does nothing for morale.

This was quickly followed with a kidney biopsy and prostate biopsy. Both not fun either … sticking long needles into your body.

However, good news started to come in. The bladder nodes were both benign and so was the kidney. The prostate had nothing immediate – some PIN cells that needed to be watched.

My urologist was stunned. In 16 years of a busy practice he had never seen anyone with such a positive outcome. He explained that only 2% of bladder tumors are benign and that 5% of kidney tumors are benign. To have all these benign was very much “beating the odds”.

I am now in the hospital recovering from having the kidney tumor removed. Even though not malignant it was still growing and needed to be extracted. As a bonus, the doc took out a kidney stone while in there.

From solstice to solstice my life has travelled quite a journey. From despair to surrender to hope for the future…and gratefulness. I believe that I could not have possibly had such a great outcome if it hadn’t been for:

  • the network of support of family and friends
  • the positive oriented yoga lifestyle on which I work daily
  • the love of my life partner and sweetheart

truly namaste.

One comment

Leave a comment