A couple of years after mom died of a brain tumor, I discovered that I had one too. Living has taken on a whole new meaning since. October is brain tumor awareness month in Canada.
It was over. Mom was dead, finally. The thing she feared most – losing her mind – had come to pass. Despite radiation treatment and chemotherapy the brain tumor had put her into a coma. Dad made the tough decision to stop the IV drip that kept her alive.
It was horrible to be there – watching her waste away, smelling the building of her body’s ammonia until the final moment. I wanted to put a pillow over her head and have this inhumanity stopped. But our society sneers at euthanasia…so we stood watch. Slowly and suffering, she passed away from dehydration.
I slid her wedding band from her dead finger before her body was sent for cremation. I gave it to Dad who just nodded, took it and slipped it into his pocket, his eyes downcast.
That was in 1996, a mere three years after Dad had retired and they were fulfilling their lifelong dream of being snowbirds to Florida every year. Dad still wears his wedding band.
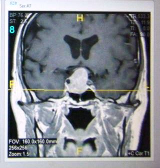
Two years later, I was diagnosed a pituitary tumor. It is a prolactinoma, causing excess production of the hormone prolactin, which promotes milk production in women. I was successfully treated with drugs to shrink the tumor to its current size of 5mm. Unfortunately the tumor crushed surrounding cells in my pituitary. In succession, I lost production of testosterone, thyroid hormone and recently cortisol.
Hormones are powerful messengers in the your body. We all witness the issues women have when their monthly hormones fluctuate. Now imagine having one go out of control while three others go to zero! For 14 years I’ve been fine tuning my cocktail of drugs to compensate for them. I went from completing triathlons and climbing the executive corporate ladder to being a physical, emotional and mental mess.
I re-framed my reality. My brain “buddy” forced me to examine my goals and values. My parents saved and delayed enjoying life until the promised Retirementland. They barely had time in it.
My experience has led me to believe that we are one being – mind, body, emotion, spirit – without distinction. We embrace the wholeness of ourselves in what is called – being alive. Being alive compels us to see into the moment of now. It is in the now that we can share love, find hope and be happy in our oneness. I am fulfilled in living from my heart not from the ambitions in my head.
Today, I find happiness in riding my horse, breathing through a yoga sequence and waking up every morning hugging my wife.



Thank you for this Alain. I hope you understand just how many lives you touch. You’ve made my day better just by reading this post!
LikeLike